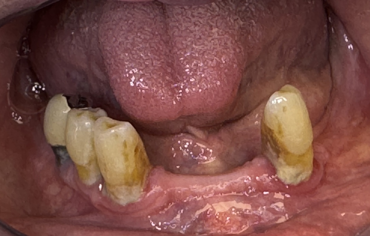
Ce patient est victime d’une édentation majeure.
Outre les douleurs et l’inconfort au quotidien, il ne peut plus sourire ou même partager un moment de détente entre amis.
Les extractions ont été réalisées en une seule fois. Et au cours de cette séance, nous avons posé 4 implants à la mandibule. En même temps, et afin de lui offrir une solution transitoire immédiate, 2 clips de stabilisation ont été posés. La séance s’est achevée avec la pose d’appareils transitoires haut et bas.
La séance s’est déroulée sous sédation vigile par Meopa, dans la détente et le confort du patient.
Après 6 mois, le patient est revenu pour la réalisation des prothèses définitives haut et bas.
L’appareil du bas est stabilisé par 4 implants. Les parties femelles, prises dans l’appareil viennent s’enclencher sur les parties mâles portées par les implants conférant à la prothèse du bas un appui fort et une stabilité optimale.
L’esthétique a été totalement transformé et rétabli.
Le patient est âgé de 86 ans.
Il se présente au cabinet, porteur d’une prothèse partielle du haut très ancienne (plus de 40 ans).
Les dents qui soutiennent la prothèse sont mobiles et douloureuses.
Le patient n’est pas gêné par le fait de porter une prothèse, il en a l’habitude. Par contre, il souhaite une stabilisation de la prothèse afin de maintenir un certain niveau de confort.
Après étude de son cas, nous lui avons proposé de réaliser une prothèse stabilisée sur 4 implants. Le palais sera très décolleté et lui laissera la sensation du chaud et froid ainsi qu’une vraie perception du goût.
Le même jour, nous avons réalisé les extractions des dents restantes ainsi que l’exérèse des kystes et le comblement des sites.
Les implants ont été posés dans la même séance ainsi que des clips de stabilisation destinés à stabiliser une prothèse provisoire.
Le patient est reparti avec un appareil complet transitoire stabilisé sur 2 clips.
À 6 mois post-opératoires, la prothèse définitive stabilisée sur 4 implants a été réalisée en quelques séances.
Des systèmes d’attachements souples viennent se loger à l’intérieur même de l’appareil et sont parfaitement invisibles.
Le patient a retrouvé confiance en son sourire. Il peut manger de tout.
A aucun moment, il ne s’est retrouvé sans dents.
Patiente de 73 ans.
Ses dents du bas sont mobiles et douloureuses. Elles ne peuvent plus stabiliser l’ancienne prothèse du bas. La patiente vient nous voir dans l’attente d’une solution stable et esthétique.
La pose de 3 implants et les extractions sont réalisées dans la même séance; une prothèse transitoire stabilisée par 2 clips transitoires est mise en place le même jour.
À 5 mois la prothèse définitive stabilisée par 3 implants est livrée à la plus grande satisfaction de notre patiente.
